Best Emergency Dentist in Richmond, TX
Best Emergency Dentist When you’re in pain or facing an unexpected dental issue, getting help becomes your top priority. The best emergency dentist is someone who can respond quickly, treat you with compassion, and help you feel at ease through every step of your care. Having a trusted professional nearby can turn a stressful moment …
Read More
Best Dental Implant Dentist in Richmond, TX
Best Dental Implant Dentist Your comfort is essential when choosing a dental implant dentist. From the first visit to the final result, you deserve care that feels reassuring, gentle, and well-explained. A dentist who understands how to keep you comfortable every step of the way can turn a big decision into a calm, positive experience. …
Read More
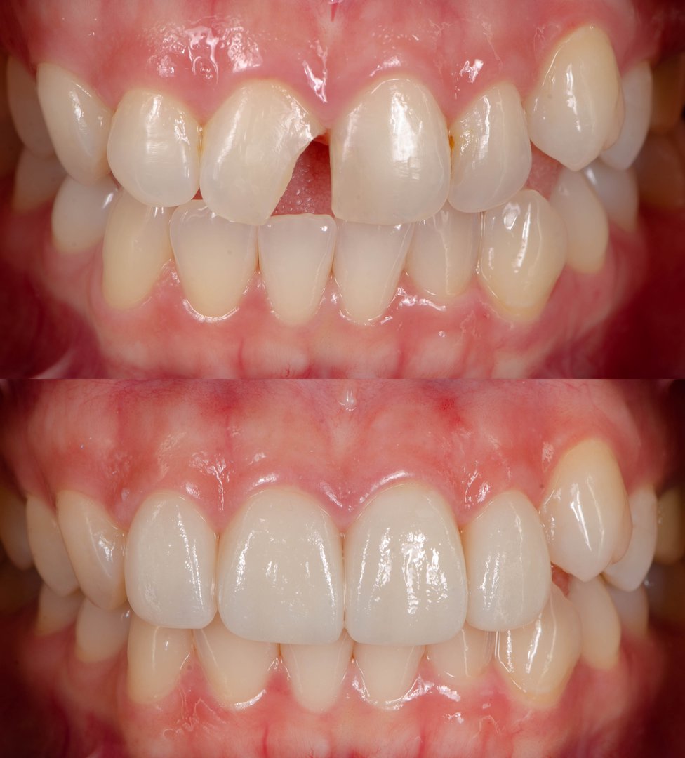
Tooth Pain Treatment Near Me in Richmond, TX
A vibrant, pain-free smile is the cornerstone of confidence and well-being. When tooth pain disrupts this, it impacts more than just your oral health; it affects your daily life and overall happiness. Addressing tooth pain promptly and effectively is essential for restoring your comfort and preserving the beauty of your smile. A skilled dentist can …
Read More
Top Rated Dental Implant Dentist in Richmond, TX
Top Rated Dental Implant Dentist Your smile is one of the first things people notice—and working with a top rated dental implant dentist can help you restore it with confidence. Whether you’re missing one tooth or several, finding a trusted expert nearby means you can enjoy long-lasting results and a natural-looking smile that helps you …
Read More
Emergency Dental Appointments Near Me in Richmond, TX
Emergency Dental Appointments Near Me When you’re in pain or facing a dental emergency, your comfort matters more than ever. Whether it’s unexpected discomfort or a sudden injury, it helps to know there’s a dental practice nearby that is ready to welcome you with comprehensive and compassionate care. From the moment you call to the …
Read More
Best Dental Implants Treament Near Me in Richmond, TX
Best Dental Implants Treatment Near Me A complete, confident smile can change the way you feel every day—and the right dental implants treatment nearby can help make that possible. Whether you’re missing one tooth or several, dental implants offer a lasting, natural-looking way to restore your smile so you can speak, eat, and laugh with …
Read More
Best Emergency Dentist Near Me in Richmond, TX
Best Emergency Dentist Near Me When something unexpected happens to your smile, finding the best emergency dentist near you can make all the difference. A dental emergency doesn’t just affect your teeth—it can impact your comfort, your confidence, and your ability to go about your day. Quick, reliable care helps restore your smile and your …
Read More
Best Dental Implant Dentist Near Me in Richmond, TX
Best Dental Implant Dentist Near Me Your smile deserves care that helps you feel confident, complete, and proud—and choosing the right dental implant dentist nearby can make all the difference. Dental implants are a powerful way to restore your smile’s strength and appearance, and working with someone you trust ensures a smooth, positive experience from …
Read More
Best Emergency Dentist in Richmond, TX
Best Emergency Dentist When something unexpected happens to your teeth or gums, knowing where to turn makes all the difference. The best emergency dentist is someone who can help you feel calm, cared for, and confident—even in a stressful situation. Acting quickly and getting the right care can help preserve your smile and relieve discomfort …
Read More
Best Dental Implant Dentist in Richmond, TX
Best Dental Implant Dentist Your smile plays a big role in how you feel each day, and working with the best implant dentist can help you restore it with lasting results. Whether you’re missing one tooth or several, a trusted professional nearby can guide you through the process with care, giving you the confidence to …
Read More